
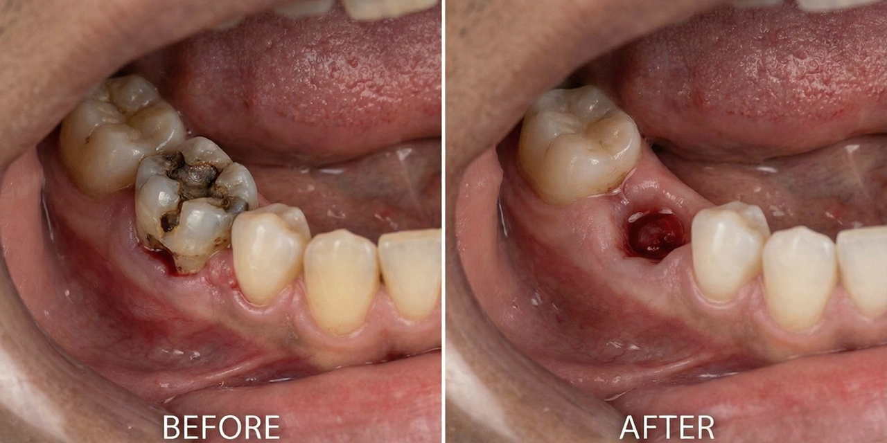
Tooth extractions in Tampa are recommended when the tooth/teeth are damaged beyond possible repair. Here are some situations where Dr. Upshaw may recommend an extraction:
Before recommending a tooth extraction in Tampa, FL, Dr. Maria Upshaw will thoroughly evaluate your condition and explore alternative treatment options whenever possible. Preserving natural teeth is always a priority, and extractions are only recommended when they are the most appropriate and beneficial course of action. Dr. Upshaw will discuss the reasons for extraction, provide detailed information about the procedure, and address any concerns you may have.


After a tooth extraction in South Tampa, it is important to consider replacing the missing tooth (except for wisdom teeth.) If you were to leave the space open, the adjacent teeth will begin to shift out of alignment, which can cause overall bite concerns, TMJ issues, and even bone loss in that area. In time, tooth loss also contributes to premature aging in your face, due to the lack of support behind your lips and cheeks. By preserving your bite alignment and replacing any missing teeth, you can prolong the health and function of your overall smile.
Your dentist in Tampa offers sedation dentistry in Tampa to ensure a relaxed and comfortable experience during your dental extraction. Depending on your needs and preferences, you can choose from nitrous oxide sedation (commonly known as "laughing gas") or oral conscious sedation. Adding sedation to your appointment helps minimize anxiety, discomfort, and sensitive gag reflexes.


At Upshaw Dental Studio, Dr. Maria Upshaw and her caring team prioritize patient comfort and oral health when performing Tampa tooth extractions. With a comprehensive approach, they thoroughly evaluate each case to determine the necessity of an extraction and explore alternative options when appropriate.
Call our office today to request an appointment!